Correcting bad habits
At Dental Artistry we use Oral Myology to assist patients to correct abnormal oral habits which have contributed to the misalignment of their teeth. Oral Myology (also called Myofunctional Therapy) is a muscle re-education programme which incorporates facial and tongue exercises to improve tongue positioning, breathing, chewing and swallowing.
Mouth breathing and incorrect positioning of the tongue, as well as oral habits such as thumb sucking, all have adverse effects on general health, normal dental development and the development of an attractive facial shape.
Mouth Breathing
Mouth breathing is a far more detrimental practice than is generally understood. It is linked to poor oxygen uptake and is disruptive to the depth and quality of sleep. This subsequently has a negative impact on learning, concentration and growth. Ongoing mouth breathing often results in bad posture as the head moves forward to accommodate, which can lead to chronic neck and back pain. Mouth breathing is also associated with a low resting tongue position and as such, affects the normal development of the face.
Tongue Positioning
As the tongue exerts ongoing pressure, its positioning is important. The normal positioning of the tongue at rest and during swallowing is against the palate. This positioning contributes to the normal development of the upper arch. Without this outward pressure countering the inward pressure of the cheeks, the upper arch may not broaden adequately as the child grows. A narrow upper arch will not have space to accommodate the erupting teeth, which will then come through crowded. Typically, facial growth will instead progress downwards, resulting in an abnormal lengthening of the face.
One common reason for the low resting position of the tongue is a short or thickened string under the tongue holding it down. This is referred to as tongue-tie and may contribute to
various growth, dental and general health problems. A quick and safe tongue tie is released at Dental Artistry in conjunction with oral myology exercises improves the position and movement of the tongue and may eliminate or minimise potential health problems if left untreated.”
Effect of Mouth Breathing and Low Tongue Position on Facial Growth in Twins
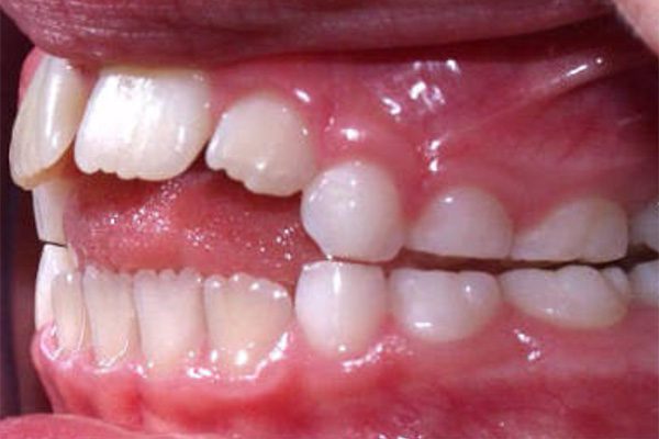
Incorrect tongue positioning can also contribute to other dental issues. A tongue which habitually rests between the posterior teeth, for example, will result in an open bite. If the tongue rests against the anterior teeth, especially if the upper lip is short or weak, the pressure can cause the teeth to protrude forward. A tongue thrust is another detrimental habit in which the tongue protrudes through the teeth during swallowing, speaking, or at rest. This repeated pressure on the teeth can force them forwards into an unhealthy and unattractive position as well as interfering with the clarity of speech.


The Effect of Tongue Thrust on Teeth Positioning
Oral Myology at Dental Artistry may be recommended in conjunction with your orthodontic treatment to hasten the treatment process and to improve orthodontic retention. There are however, many other benefits associated with correcting aberrant oral habits. We have had patients report a reduction of snoring, improved focus at work and school as well as improvement of posture and TMD symptoms after completing the Oral Myology programme.
Our aim is to provide you with a beautiful smile, a comfortable and efficient bite and excellent oral health
At Dental Artistry we’re dedicated to providing you with exceptional dental treatment in a practice that adheres to the most stringent safety and quality measures.
Our dentists, and patient support team are committed to treating you with kindness and respect.
Tell us about your dental goals and we’ll do our utmost to help you achieve them.