Should you go overseas to have implant treatment completed cheaply? This is a difficult decision as there is often a price incentive to do this. There are a number of reasons to have the implant placed locally. In this blog we will focus on the quality of implants used in New Zealand and overseas.
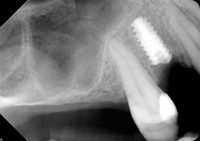
Here at Dental Artistry in Auckland we operate using world standard implants from reputable international companies. Unfortunately, in our experience, not all dentists in other countries use good quality implants from established companies, and this can lead to poor results, and/or complications after treatment. MedSafe New Zealand maintains strict quality standards for dental implants used in New Zealand, however standards such as these do not apply in all countries. Pictured below are a couple of examples of poor quality implants placed overseas.

Failed implant bridge placed in Bali. One ‘implant’ was found to be a wood screw. Patient had treatment remedied here at Dental Artistry.

Poor quality implant placed in Argentina, which subsequently broke in half. Patient had treatment remedied here at Dental Artistry.