Orthodontic treatment options can correct several issues related to misalignment of the teeth and jaw, as well as functional problems or airway obstruction; providing people with a renewed sense of self-confidence.
Orthodontics is a specialised field of dentistry that diagnoses, prevents and corrects badly positioned teeth and jaws. Among other things, it helps fix misaligned bites which can lead to further problems.
At Dental Artistry, we do all this and more, helping you to perfectly align your teeth and improve your facial appearance.
Here are six common orthodontic problems that Dental Artistry can help you deal with.
Overbite
Put simply, an overbite is when the upper teeth stick out or protrude over the lower teeth. Occlusion is the technical term referring to the alignment of teeth. Malocclusion is when the teeth or the jaw are misaligned. The most common causes of an overbite are disproportionate size of teeth or jaws, which can leave too little room in the mouth for teeth, or too wide a space in the jaws. This is different from ‘overjet’ teeth which often caused by habits like long-term thumb sucking, incorrect tongue posture, nail biting or the user of a pacifier, that can push the tongue against the teeth, causing ‘buck’ teeth.
At Dental Artistry, we assess each patient and, based on age and the specific case, make treatment recommendations for overbite correction. For children and young adults, treatments such as the use of a growth modification device, overbite braces for kids or retainers are suggested. In orthodontics for adults, braces are suggested for overbite correction, depending on the severity of the case. Teeth removal and surgery options may be suggested for an overbite where jaw problems can only be rectified with invasive action.


Underbite
An underbite is classified as class III malocclusion, where the lower teeth and jaw protrude further than the upper jaw. At Dental Artistry, underbites can usually be fixed without surgery, though it is considered in extreme cases.
One early intervention is to wear the upper jaw expander, which is a wire frame fitted into the patient’s palate increase the width or forward position of the upper jaw. A key is used to expand the device a small amount every day until the lower teeth stop protruding.
The reverse pull face mask is a headgear that is used on children and young patients to pull the jaw back into place. Invisalign clear aligners may be used to mask the underbite in some cases.
Surgery or tooth removal may be suggested in adult cases. The before and after images of treatments for overbites and underbites can be remarkable (see before and after results below).
Open bite
An open bite is a form of malocclusion where the front upper or the front lower teeth protrude in such a way that they do not touch when you close your mouth. This can happen in the front of the mouth or at the back.
One common cause is temporomandibular joint disorder (TMJ for short). This causes extreme pain in the mouth and causes suffers to push on their teeth with their tongue for comfort, which can result in an open bite. Chronic mouth breathing, airway obstruction, excessive thumb sucking and genetic skeletal issues are other potential causes.
At Dental Artistry, we take a number of factors into consideration when fixing open bites. Based on age and severity, we may suggest behaviour modification. Mechanical orthodontic treatment options like the use of braces and Invisalign are also suggested. Surgery is recommended in severe cases.


Cross bite
Crossbites result when the upper teeth sit inside of the lower teeth. This can happen at the fornt or back of the mouth and one side or both. Cross bites generally have a genetic origin, but they can also happen due to problematic baby teeth, severe crowding, mouth breathing, or thumb sucking.
Cross-bites can be corrected with orthodontic appliances, braces, clear aligners, or with surgical intervention, depending on severity and age. In children, the palate expanders can be used to widen the mouth and treat a cross bite. Braces or dental headgear are other options. Adults are prescribed braces, retainers, orthodontic elastics or palate expanders.
Crowding
When the size of the teeth is disproportionate to the jaw or the jaw is too small to accommodate teeth, crowding can occur. The simplest ways to treat crowding of teeth are early intervention and the use of expanders, braces or clear aligners. Some patients may also be suitable for veneers and crowns as an alternative or adjunctive treatment to orthodontics.


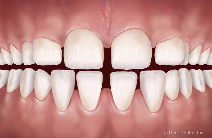
Spacing
Gaps in teeth occur when your teeth are too small for your jawbone. It has a lot to do with genetics. Braces or Invisalign are the most common solutions. If you would rather not use braces, then dental bonding using either resin or ceramic are good alternatives to reduce space between teeth.
Our aim is to provide you with a beautiful smile, a comfortable and efficient bite and excellent oral health
At Dental Artistry we’re dedicated to providing you with exceptional dental treatment in a practice that adheres to the most stringent safety and quality measures.
Our dentists, and patient support team are committed to treating you with kindness and respect.
Tell us about your dental goals and we’ll do our utmost to help you achieve them.